Woman suffers major injuries after ‘mistakenly’ wearing a sex toy to an MRI scan

A woman reportedly suffered major injuries after she mistakenly left a sex toy in their rectum while undergoing an MRI scan.
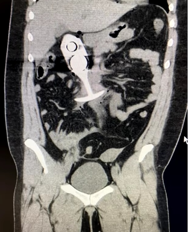
According to the report, the sex toy that was left in the rectum of the patient resulted in a hazardous reaction between the powerful magnets and the metal parts of the toy.

According to the scan image result shared online, the sex toy injured the patient causing potentially damaging organs and tissue along the way.
The picture was shared by an X user “DreadPirateZero’,who captioned it: “Never wear a butt plug to your MRI appointment. My god….”
Reports say that the powerful magnetic forces used to create an MRI’s detailed scans reportedly pulled the metallic core of the silicone toy through the patient’s rectum and up into their chest cavity at the “speed of sound”.
A health professional who filed the report said;
“She went in for the MRI and when the MRI was over and the tech was pulling the table out the patient started to scream.
“The patient stated that she felt nauseous, was in pain, and felt like she was going to pass out.
“An ambulance was called for this patient and she was sent to the hospital.
“The patient was checked out by the radiologist at the site before transport to ensure the patient was doing okay.”
See the scan image below…




